Téma v centru pozornosti

20. 4. 2026

Česká interní medicína se nevyhne změnám. Z části proto, že stárnou lékaři, z části proto, že stárne populace, a z části proto, že nastupují nové možnosti péče o pacienta. „Do vývoje zasáhne digitalizace a využívání umělé inteligence, telemedicína a domácí monitoring pacienta,“ míní prof. MUDr. Richard Češka, CSc., FACP, FEFIM, předseda České internistické společnosti ČLS JEP. [...]

29. 4. 2026

Dětská diabetologie za posledních několik dekád prošla významnými změnami. Mimo jiné je i více dětí s tímto onemocněním. „Od roku 1989, odkdy máme přesná data, se zvýšila incidence u dětí více než čtyřnásobně,“ říká prof. MUDr. Zdeněk Šumník, Ph.D., přednosta Pediatrické kliniky 2. lékařské fakulty Univerzity Karlovy a Fakultní nemocnice v Motole. V poskytování péče se řadíme mezi světové špičky. [...]
prof. MUDr. Zdeněk Čada, Ph.D.

7. 4. 2026

Klinika dětské ORL v motolské nemocnici je přední pracoviště svého druhu u nás. Kromě běžných onemocnění se zde lékaři věnují i řadě výkonů, které provádějí jako jediní či jako jedni z mála v republice. Chloubou kliniky je mimo jiné implantační program. „Jde o vysoce specializovaný program, který v této komplexnosti a s moderními diagnostickými přístupy jinde v regionu nenajdete,“ říká profesor MUDr. Zdeněk Čada, Ph.D., přednosta Kliniky ušní, nosní a krční 2. lékařské fakulty Univerzity Karlovy a Fakultní nemocnice v Motole. [...]

22. 4. 2026

Evropská agentura pro chemické látky (ECHA) zvažuje zařazení etanolu mezi látky s podezřením na karcinogenní účinky. Takové opatření by v praxi znamenalo zákaz většiny dezinfekčních přípravků na ruce a řady [...]

13. 4. 2026

Podle statistik až čtvrt milionu Čechů trpí psoriázou. Onemocnění se neprojevuje jen na kůži, zasahuje také nehty a klouby, zvyšuje riziko metabolických kardiovaskulárních chorob a výrazně zasahuje do psychiky pacientů. [...]

10. 4. 2026

V České republice dlouhodobě ubývá prvodárců krve, přestože poptávka po transfuzích neklesá. Ústav hematologie a krevní transfuze (ÚHKT) se proto zapojuje do celostátní kampaně Ministerstva zdravotnictví „První kapka“, která má [...]

Novinky

29. 4. 2026

Prakticky všechny klíčové technologie jsou u nás dostupné a plně hrazené

28. 4. 2026

DIALOG 2026: určit si cíl a vydržet

27. 4. 2026

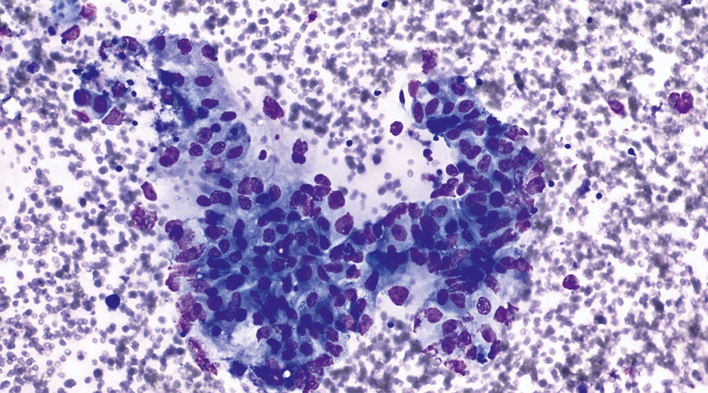
Jen šest procent pacientů s rakovinou slinivky přežije pět let

24. 4. 2026

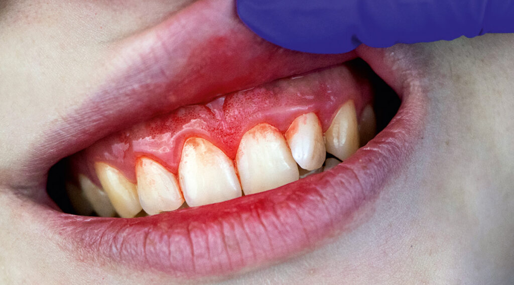
Zánět dásní? Riziko nejen pro zuby, ale i srdce a mozek

22. 4. 2026

Zákaz etanolu v dezinfekčních prostředcích by ohrozil veřejné zdraví

21. 4. 2026

Reklama a komunikace poskytovatelů zdravotních služeb: kde končí edukace a začíná marketing

20. 4. 2026

Dostupnost interní péče podle regionu se liší, někdy dost významně

17. 4. 2026

Epidemie, o které se nemělo mluvit

15. 4. 2026

Vědci si posvítili na bílkovinu, která má na svědomí nežádoucí účinky léků

13. 4. 2026

Psoriáza není jen problém kůže, souvisí s obezitou

10. 4. 2026

Dárců krve ubývá. ÚHKT rozšiřuje kapacity a zapojuje se do kampaně První kapka

Pro odborníky

Odborný informační portál pro lékaře, farmaceuty, sestry a další ošetřovatelské profese, manažery ve zdravotnictví a zaměstnance státní správy, který obohacuje a doplňuje odborný měsíčník Zdravotnictví a medicína. 

Od odborníků

Informace na portálu jsou zpracovávány odbornými redaktory Zdravotnictví a medicína a odborníky na různá témata zdravotnictví a medicíny.

Spolupracují s námi přední značky ve svém oboru

„Vaše dávka odborných informací, pravidelně a spolehlivě.“

Informace na portálu jsou zpracovávány odbornými redaktory Zdravotnictví a medicína a odborníky na různá témata zdravotnictví a medicíny. Vydavatelem je společnost EEZY Events & Education, s.r.o. Společnost vydává specializované časopisy a konference. Klíčovým zaměřením ve vydávání časopisů je oblast zdravotnictví jako jsou časopisy Zdravotnictví a medicína, Vakcinologie a časopis Česká revmatologie, který vydává pro Českou revmatologickou společnost ČLS JEP.